베나실 수술 후 혈관의 변화 7개월
본문
많은 기대속에 도입되었던 베나실!!!
베나실 VenaSeal TM system이 도입된지 이제 7개월이 되어갑니다
혈관을 접착하여 폐쇄한다는 점에서 매우 생소하고 낯설었던 방법입니다
접착해서 붙인 혈관은 그 이후에는 대체 어떻게 되는걸까?

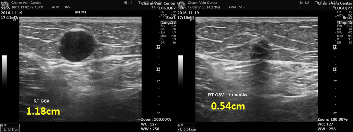
수술전과 7개월의 변화를 사진을 비교해봅니다
기존의 혈관이 폐쇄되어서 서서히 퇴화가 되는 것이 확인됩니다
접착물질인 Acrylate는 시간이 지나면서
우리 몸의 면역세포중 하나인 대식세포(macrophage)
에 의해서 서서히 분해가 되어 사라진다고 합니다
시일이 지나면서 혈관이 퇴화가 더 될 것이며
분해가 되어서 사라질 것으로 생각됩니다
정말 획기적이고 좋은 방법이지만,
알러지 양상의 염증이 10%에서 발생하고,
외국의 경우보다 한국인에게서 더 심하게 나타나는
경향이 있다는 점이 더 풀어야할 숙제입니다
참하지외과에서는
이러한 현상을 줄이기위해 다각도로 연구중이고
조만간 적절한 방법이 밝혀질 것으로 기대가 됩니다
실제로 알러지반응의 비율이 처음보다 감소하였습니다
참하지외과는 보다 나은 치료를 위해 항상 정진하고 노력합니다






