VenaSeal Certificate 수술시행
본문
2016. 11. 24 VenaSeal Certificate Sample 수술이 있었습니다
VenaSeal은 앞서 언급했듯이
열손상, 물리적손상이 없는 기존의 틀을 탈피한 새로운 치료법으로
문제가 되는 혈관을 제거하여 역류를 차단하던 기존 개념과 달리
생체접착체를 이용하여 혈관을 접착시켜 역류를 차단하는 개념입니다
따라서 열로 태우거나 잡아당기거나 하는 조작이 필요치 않기에
수술 과정서 팽창마취(tumescent anes.)도 필요없는
마취를 최소화할 수 있는 방법입니다

ClosureFast 고주파 술식의 경험이 많은 의료기관을 대상으로
국내에서 총 5명의 의사에게
VenaSeal Sample 수술 기회가 주어졌고
참하지외과의 박인수 원장이 포함되었습니다

Medtronic의 Global Product Manager인
Scott Currin이 조언을 해주었습니다
약 400례의 VenaSeal 술식을 참관하였다고 합니다

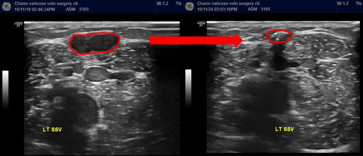
수술 직후의 변화입니다
1.4cm 직경가량의 혈관이 시술 직후 6시간뒤
서서 초음파를 확인하였을때 즉각적으로 유착된 것이 보입니다

마찬가지로 약 1.3cm 가량의 큰 직경의 혈관이
수술 직후 6시간뒤 바로 유착되어 막힌 것이 확인됩니다
VenaSeal의 가장 큰 장점은 수술 이후
1. 압박스타킹의 착용이 필요없다는 것과
2. 수술과정서 팽창마취가 필요없고
3. 수술 후 통증이 기존 술식과 비교해 사실상 거의 없다는 것입니다
이미 미국과 유렵 등지에서 시행이 되고 있으며
아시아권에서 호주, 홍콩, 싱가폴에 이어
한국에 도입이 되기를 기다리고 있습니다
현재 국내 식약청, 심평원 등의 심사를 진행중이며
빠르면 12월안으로 국내서도 정식으로 시행이 될것입니다
향후 하지정맥류의 치료에 상당히 큰 영향력을 행사할 것으로 생각됩니다






